
Test Data
Test Data
Dental Implants
Single Implants
There is no better, long-lasting option to restoring a missing tooth than a dental implant fitted with a crown.
Replacement of a single tooth using a dental implant involves consultation and planning, including initial exam, imaging of your teeth, questions about your dental and medical history, and discussion of your treatment options.
Followed by placement of the dental implant which is a substitute for the missing natural tooth root, either with or without a built-in abutment (a connector placed on, or built into, the top of the implant) that will attach to the replacement tooth. A temporary tooth can be placed while the dental implant integrates with your natural bone to form a strong foundation for your replacement tooth. After a period of 4 – 6 months a custom-made crown is made.
Replacement of a single tooth using a dental implant involves consultation and planning, including initial exam, imaging of your teeth, questions about your dental and medical history, and discussion of your treatment options.
Followed by placement of the dental implant which is a substitute for the missing natural tooth root, either with or without a built-in abutment (a connector placed on, or built into, the top of the implant) that will attach to the replacement tooth. A temporary tooth can be placed while the dental implant integrates with your natural bone to form a strong foundation for your replacement tooth. After a period of 4 – 6 months a custom-made crown is made.
.jpg)
Before treatment
.jpg)
During treatment
.jpg)
During treatment
.jpg)
After treatment
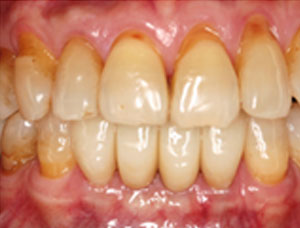
Multiple implants
Replacing multiple teeth using dental implants with individual crowns or with an implant-supported fixed bridge gives your teeth a level of fit, feel and functionality that is not possible with other treatment options. Other common treatments for the loss of several teeth, such as fixed bridges or removable partial dentures, are dependent on support from adjacent teeth.
The process is often completed over multiple visits:
Consultation and planning, including initial exam, imaging of your teeth, questions about your dental and medical history, and discussion of your treatment options.
Placement of the dental implants that will be used to support your replacement teeth. Over the next four to six months the dental implants integrates with your natural bone to form a strong foundation for your replacement teeth.
Often, a second step of the procedure is necessary to uncover the implants and attach extensions. These temporary healing caps complete the foundation on which your new teeth will be placed. Your gums will be allowed to heal for a couple of weeks following this procedure. Placement of the abutments, or a small extension that will help connect your replacement teeth, on top of each implant followed by placement of a fixed, implant-supported bridge, or custom-made replacement teeth (crowns).
The process is often completed over multiple visits:
Consultation and planning, including initial exam, imaging of your teeth, questions about your dental and medical history, and discussion of your treatment options.
Placement of the dental implants that will be used to support your replacement teeth. Over the next four to six months the dental implants integrates with your natural bone to form a strong foundation for your replacement teeth.
Often, a second step of the procedure is necessary to uncover the implants and attach extensions. These temporary healing caps complete the foundation on which your new teeth will be placed. Your gums will be allowed to heal for a couple of weeks following this procedure. Placement of the abutments, or a small extension that will help connect your replacement teeth, on top of each implant followed by placement of a fixed, implant-supported bridge, or custom-made replacement teeth (crowns).
.jpg)
Before treatment
.jpg)
Before treatment
.jpg)
During treatment
.jpg)
After treatment
Full mouth implants
If you are missing all of your teeth, an implant-supported full bridge or full denture can replace them.
In addition to looking and functioning like natural teeth, implant-supported full bridges or dentures are designed to be long lasting. Implant-supported full bridges and dentures also are more comfortable and stable than conventional dentures, allowing you to retain a more natural biting and chewing capacity. In addition, the dental implants integrate with your jawbone, helping to keep the bone healthy and intact.
The process is often completed over multiple visits:
Consultation and planning, including initial exam, imaging of your teeth, questions about your dental and medical history, and discussion of your treatment options.
The dental implants are then placed and left to integrate with the jaw bone for four to six months to form a strong foundation for your replacement teeth. Often, a second step of the procedure is necessary to uncover the implants and attach extensions. These temporary healing caps complete the foundation on which your new teeth will be placed. Your gums will be allowed to heal for a couple of weeks following this procedure. Placement of the abutments, or a small extension that will help connect your replacement teeth, on top of each implant followed by placement of an implant-supported full bridge or full denture.
Dental Implants center in Bangalore helps you to get perfect teeth which in turn facilitates your daily activities like eating,smiling,talking to carry out with ease.Contact best Cosmetic Dental Clinic in Bangalore to get best service.
In addition to looking and functioning like natural teeth, implant-supported full bridges or dentures are designed to be long lasting. Implant-supported full bridges and dentures also are more comfortable and stable than conventional dentures, allowing you to retain a more natural biting and chewing capacity. In addition, the dental implants integrate with your jawbone, helping to keep the bone healthy and intact.
The process is often completed over multiple visits:
Consultation and planning, including initial exam, imaging of your teeth, questions about your dental and medical history, and discussion of your treatment options.
The dental implants are then placed and left to integrate with the jaw bone for four to six months to form a strong foundation for your replacement teeth. Often, a second step of the procedure is necessary to uncover the implants and attach extensions. These temporary healing caps complete the foundation on which your new teeth will be placed. Your gums will be allowed to heal for a couple of weeks following this procedure. Placement of the abutments, or a small extension that will help connect your replacement teeth, on top of each implant followed by placement of an implant-supported full bridge or full denture.
Dental Implants center in Bangalore helps you to get perfect teeth which in turn facilitates your daily activities like eating,smiling,talking to carry out with ease.Contact best Cosmetic Dental Clinic in Bangalore to get best service.
.jpg)
.jpg)
.jpg)
.jpg)
Dental Implants Center In Bangalore
Dental Implant Surgery In Koramangala
Copyright © Cosmetic Dental Clinic -
. All rights reserved



